gasser zahntechnik: Labor.

Labor.

Wir sind im Zentrum von Winterthur zuhause. Besuchen Sie uns für eine Beratung.

gasser zahntechnik: Handarbeit.

Handarbeit.

Die Arbeit des Zahntechnikers ist ein präzieses Handwerk. Wir prüfen all unsere Arbeiten bis zum letzten Detail.

gasser zahntechnik: Digital.

Digital.

Die Gegenwart ist digital. Wir arbeiten selbstverständlich damit. 

gasser zahntechnik: Implantate planen

Implantate planen

Implantate werden  in 3D digital vor der Operation vorgeplant. 

 

Zahnlabor Gasser

Herzlich willkommen

Vielen Dank für Ihre Interesse an unserem Labor.
Seit 2005 dürfen wir hier in Winterthur Menschen mit unseren Einzelanfertigungen glücklich machen.
Wir produzieren Zahnersatz jeglicher Art zu 100% in Winterthur.

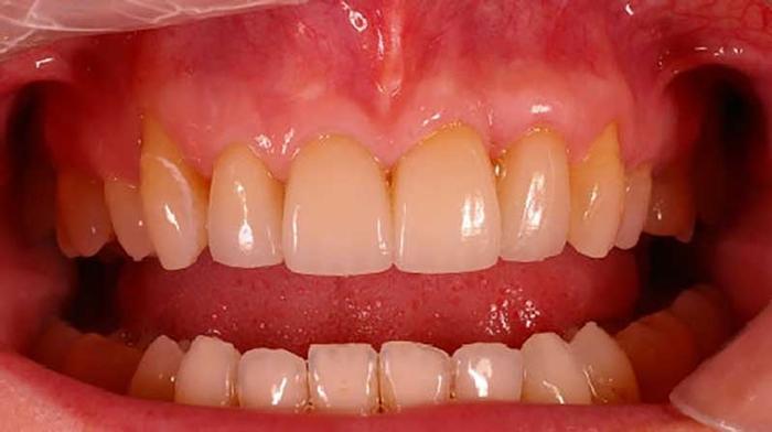
Bei Bedarf passen wir den Zahnersatz direkt am Patienten an. So erhalten Sie Zahnrekonstruktionen, welche Sie nicht von echten Zähnen unterscheiden können. Wir bieten alles an was die Zahntechnik bietet.

Wir sind bereit für die Zukunft und offen für Neues.
Über einen Kontakt oder eine Anfrage von Ihnen
würden wir uns sehr freuen. 

labor_gasser01_10.JPG
Unsere Arbeitsplätze

Unsere Arbeiten

hoi hoi hoi hoi hoi hoi
Zahnprothese
Geschiebe
Geschiebe 2
Modellgussprothese Gasser
Präzision
Empress Esthetic